男子食后左肝被掏空,这种鱼为何如此凶险?
2021-05-12 18:42 来源:
人民网科普、科普中国、丁香医生
发布机构:汕尾市华侨管理区 |
【字体: 】打印 | 分享到: |

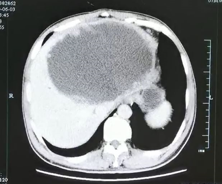
华支睾吸虫又称肝吸虫,是我国感染率最高的寄生虫之一,它可以寄生在人体的肝胆系统,产生毒素和一些分泌物,损伤肝细胞、胆管上皮细胞,引起肝脏反复的炎症、器官衰竭等症状,可能发展为肝硬化,严重时可能导致肝癌。

误区二:
误区三:
2、严格区分生熟食品用具
3、不要用生的食物喂猫狗
4、勤洗手
关联稿件:
相关附件:
扫一扫在手机打开当前页
【】【】

您现在所在的位置 :
2021-05-12 18:42